icd 10 flipped breast implant Implants harvard
If you are looking for S-ICD - defibrillator vergeleken met een transveneuze ICD en pacemaker you’ve visit to the right place. We have 35 Pictures about S-ICD - defibrillator vergeleken met een transveneuze ICD en pacemaker like S-ICD - defibrillator vergeleken met een transveneuze ICD en pacemaker, Breast Implants Made by Allergen - At Least 12 Cancer Deaths - Searcy Law and also Reality star reveals breast implant flipped over and burst inside her. Here you go:
S-ICD - Defibrillator Vergeleken Met Een Transveneuze ICD En Pacemaker
 www.s-icd.nlicd dai pacemaker implantable implantation impianto implant implantatie vergeleken cutané défibrillateur automatique defibrillator pacemakers patient
Is Christina Hall OK? HGTV’s ‘Flip Or Flop’ Star Thinks Deteriorating
meaww.comNo Clinical Complication Was Observed After The Breast Implant
www.researchgate.netPlaylist ‘Breast Playlist 25/11’ By Dr Laila Adel Mohsen
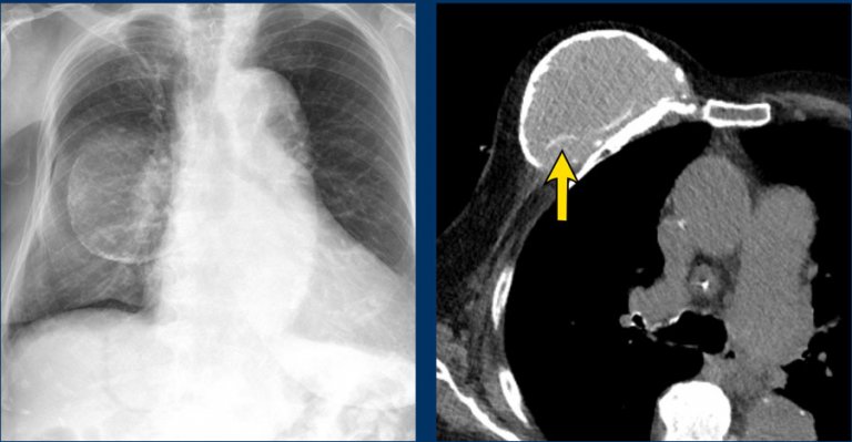
radiopaedia.orgbreast intracapsular rupture radiopaedia implant
Breast Implants | Radiology Key
radiologykey.comimplants
Woman Shares Her Experience With Breast Implant Illness
www.dailydot.comThe Radiology Assistant : Breast Implants
radiologyassistant.nlIntracapsular Breast Implant Rupture | Radiology Case | Radiopaedia.org
radiopaedia.orgSolved Breast Implants Are Medical Devices Implanted Under | Chegg.com
www.chegg.comThe Inflammatory Effects Of Breast Implant Particulate Shedding
europepmc.org(PDF) A Possible Technique For The Complex Reconstruction Of Exposed
www.researchgate.netBack-to-Front Flipping Of Implants Following Augmentation Mammoplasty
link.springer.combreast fig implant periprosthetic
Could Your Breast Implants Be Making You Sick? - Harvard Health
www.health.harvard.eduimplants harvard
Is It Safe To Get Your Breasts Screened After Getting Implants?
londonbreasthealth.com2019 Icd 10 Code For Enlarged Breast
icd-faq.comIntracapsular Breast Implant Rupture | Image | Radiopaedia.org
radiopaedia.orgAbility Of Dual-Energy CT To Detect Silicone Gel Breast Implant Rupture
www.ajronline.orgBreast Implant Flipped Or Rotated
breastaestheticsaustralia.com.auFigure 3 From Imaging Findings And Complications Following Breast
www.semanticscholar.orgBreast Implant Rupture | Radiology Case | Radiopaedia.org
radiopaedia.orgFrontiers | Immediate Direct-to-implant Breast Reconstruction: A Single
www.frontiersin.orgImaging Breast Implant Rupture - Part II - MyCME
cme30.euBreast Implant Flipped Or Rotated
breastaestheticsaustralia.com.auBreast Implants Made By Allergen - At Least 12 Cancer Deaths - Searcy Law
www.searcylaw.comimplants breast mammogram lymphoma brustimplantate surgery xray mammary allergen prosthesis schadensersatz schmerzensgeld
Breast Implant Illness + 6 Other Breast Implant Dangers - Dr. Axe
draxe.comBreast Implant Imaging Evaluation - Radiology Course - MRI Online
mrionline.comPin On Female Hormones
www.pinterest.comimplant illness drbrighten hormones syndrome rash
Medicina | Free Full-Text | The Value Of Ultrasound In The Evaluation
www.mdpi.comMedical Device Recall - An Overview - The Olinde Law Firm
olindefirm.comBISA’s Petition For ICD-10 For Breast Implant Illness - Not Putting On
notputtingonashirt.orgicd petition illness implant
The Radiology Assistant : Breast Implants
radiologyassistant.nlReality Star Reveals Breast Implant Flipped Over And Burst Inside Her
www.news.com.auAbility Of Dual-Energy CT To Detect Silicone Gel Breast Implant Rupture
www.ajronline.orgPuerto Rican Flag Wallpaper (64+ Pictures)
wallpaperset.compuerto rico flag wallpaper wallpapers rican cool pc backgrounds background hd bandera full picture 1920 flags top 1080 4k cave
Icd 10 Cm Code For History Of Breast Implants
icd-faq.comIcd 10 cm code for history of breast implants. Breast implant illness + 6 other breast implant dangers. Breast implant rupture